أصبحت تركيا واحدة من أبرز الوجهات العالمية للحصول على علاج الأسنان عالي الجودة بأسعار مناسبة. كل عام، يسافر آلاف المرضى من مختلف دول العالم إلى تركيا لاستعادة ابتسامتهم من خلال علاجات مثل زراعة الأسنان، الفينير (القشور التجميلية)، التيجان، وتصميم الابتسامة الكامل (هوليوود سمايل).
تعتمد عيادات الأسنان الحديثة في تركيا على أحدث التقنيات الطبية ومواد معترف بها دوليًا، مع الحفاظ على أسعار أقل بكثير مقارنةً بدول مثل بريطانيا والولايات المتحدة ومعظم دول أوروبا.
من خلال Tour for Cure، يحصل المرضى على إمكانية الوصول إلى أفضل عيادات الأسنان وأطباء ذوي خبرة عالية يركزون على تحقيق نتائج طبيعية وطويلة الأمد.
هدفنا هو جعل رحلتك العلاجية سهلة، آمنة، ومريحة — من أول استشارة حتى حصولك على ابتسامتك النهائية.
أصبحت تركيا بسرعة مركزًا عالميًا لـ سياحة علاج الأسنان، حيث تجمع بين الخبرة الطبية، العيادات الحديثة، والأسعار التنافسية.
أهم المميزات:
يمكن أن تكون تكلفة علاج الأسنان في تركيا أقل بنسبة 50% إلى 70% مقارنة بالدول الغربية، مع استخدام مواد عالية الجودة وتقنيات حديثة.
يمتلك العديد من أطباء الأسنان في تركيا خبرة واسعة في علاج المرضى الدوليين، ويشاركون بانتظام في مؤتمرات ودورات تدريبية عالمية.
تتميز العيادات الرائدة باستخدام:
- التصوير ثلاثي الأبعاد.
- تصميم الابتسامة الرقمي.
-أحدث أنظمة زراعة الأسنان.
مما يضمن دقة التشخيص ونتائج متوقعة.
على عكس العديد من الدول، يمكنك بدء العلاج بسرعة دون انتظار طويل.
يمكنك الاستمتاع بثقافة تركيا الغنية، ومأكولاتها الشهية، ومعالمها التاريخية أثناء رحلتك العلاجية.
تقدم عيادات الأسنان في تركيا مجموعة واسعة من العلاجات لتحسين صحة ومظهر ابتسامتك.
تُعد زراعة الأسنان حلاً دائمًا لتعويض الأسنان المفقودة، حيث تعمل كجذور صناعية تدعم التيجان أو الجسور أو التركيبات الكاملة.
مميزاتها:
- مظهر طبيعي.
- قوة عالية في المضغ.
- تدوم لسنوات طويلة.
⬅️ تعرّف على تفاصيل العملية ومدة الشفاء والتكلفة في صفحة زراعة الأسنان.
الفينير عبارة عن قشور رقيقة توضع على سطح الأسنان الأمامي لتحسين شكلها.
تُستخدم لعلاج:
- تصبغات الأسنان.
- الأسنان المكسورة.
- الفراغات الصغيرة.
- عدم تناسق الشكل.
⬅️ اكتشف كيف يمكن للفينير إعادة تشكيل ابتسامتك.
إذا كنت بحاجة إلى حماية قوية للأسنان التالفة، فإن تيجان الزيركون خيار مثالي.
مميزاتها:
- متانة عالية.
- مظهر طبيعي جدًا.
- خالية من المعدن.
- تسمح بمرور الضوء مثل الأسنان الطبيعية.
تُستخدم في:
- ترميم الأسنان المتضررة.
- استبدال التيجان القديمة.
- تحسين الشكل واللون.
- دعم زراعة الأسنان.
تحظى تيجان الزركونيوم بشعبية خاصة بين المرضى الدوليين الذين يبحثون عن القوة والجمال معًا.
حل مثالي لمن فقدوا معظم أو جميع أسنانهم في غضون أيام قليلة..
تتيح هذه التقنية استبدال كامل الأسنان باستخدام 4 أو 6 زراعات فقط. تتيح تقنيتا زراعة الأسنان All-on-4 و All-on-6 لأطباء الأسنان استبدال قوس الأسنان العلوي أو السفلي بالكامل باستخدام أربعة أو ستة غرسات فقط. يوفر هذا العلاج المتقدم بديلاً ثابتًا ودائمًا لأطقم الأسنان المتحركة.
الفوائد:
- أسنان ثابتة وطبيعية.
- تحسين القدرة على المضغ.
- فترة تعافي أسرع.
⬅️ تعرّف كيف يمكن لهذه التقنية أن تعيد لك ابتسامتك وثقتك.
إذا كانت أسنانك صحية لكنها تعاني من الاصفرار، فإن تبييض الأسنان الاحترافي يمنحك نتائج فورية.
تسبب القهوة، الشاي، التدخين، والتقدم في العمر تصبغات الأسنان.
العلاج:
- آمن.
- سريع.
- يعطي نتائج ملحوظة.
في بعض الأحيان، يحتاج المرضى إلى أكثر من جلسة علاجية للحصول على الابتسامة التي يرغبون بها.
غالبًا ما يتم دمج هذا الإجراء التجميلي السريع مع علاجات أخرى مثل القشور الخزفية أو التيجان للحصول على ابتسامة مُتكاملة.
⬅️ اكتشف كيف يعمل التبييض الاحترافي ومدة استمرار النتائج.
تجمع عملية تجميل الابتسامة بين العديد من الإجراءات التجميلية والترميمية مثل القشور الخزفية والتيجان وزراعة الأسنان وتبييض الأسنان للحصول على ابتسامة متناسقة وطبيعية المظهر. خلال استشارتك، يقوم أخصائيو طب الأسنان لدينا بتقييم ما يلي:
- اصطفاف الأسنان.
- صحة اللثة.
- تناسق الوجه.
- وظيفة الإطباق.
- • وظيفة المضغ.
بناءً على هذا التقييم، نصمم خطة علاجية مخصصة تناسب أهدافك. ثم نضع خطة علاج مخصصة لك.
⬅️ اكتشف كيف يمكن لابتسامة مُخصصة أن تُغير مظهرك.
من أهم أسباب اختيار تركيا هو الفرق الكبير في الأسعار.
العلاج | أوروبا | أمريكا | تركيا |
| زراعة الأسنان | €3000 – €2000 | $5000 – $3000 | €900 - €300 |
| تاج زيركون | €1000 – €700 | $1500 – $1000 | €300 - €100 |
| فينير | €1200 – €800 | $2000 – $1200 | €350 - €200 |
| تبييض الأسنان | €800 – €400 | $1000 – $500 | €250 - €150 |
ملاحظة:
تختلف الأسعار حسب:
- عدد الأسنان.
- نوع المواد.
- تعقيد الحالة.
- العلاجات الإضافية.
للحصول على تقدير دقيق، يجب على طبيب الأسنان مراجعة حالتك بشكل فردي.
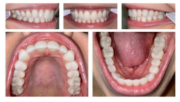
أرسل صور ابتسامتك لتقييم مجاني
قبل السفر إلى تركيا، يمكنك الحصول على تقييم مجاني لأسنانك من أطباء الأسنان لدينا.
الطريقة:
1. التقط صور واضحة لأسنانك كما في الصور التالية.
2. أرسل الصور عبر واتساب أو البريد الإلكتروني.
3. يقوم الأطباء بتحليل حالتك.
4. تحصل على خطة علاج وتكلفة تقديرية

تشاركنا مشكلتك أو هدفك.
يقوم الأطباء بمراجعة الصور.
نوضح لك التفاصيل والتكلفة والمدة.
نقوم بتنظيم مواعيدك بعد حجز رحلتك.
نستمر في دعمك بعد العلاج.
أطباء محترفون يقدمون رعاية شخصية.
أحدث الأجهزة والتقنيات.
جودة عالية بأسعار منافسة.
من أول تواصل حتى نهاية العلاج.
معلومات واضحة بدون مفاجآت.
رحلة علاج سهلة وخالية من التوتر.
استمتع بجمال تركيا أثناء العلاج.
الفينير أو التيجان: 5–6 أيام
الزراعة: زيارتان (3–4 أشهر بينهما)
نعم، يتم استخدام مواد عالمية معتمدة.
نعم، تركيا من أبرز وجهات السياحة العلاجية.
نعم، باستخدام تصميم الابتسامة الرقمي.
إذا كنت تفكر في علاج الأسنان في تركيا، فإن فريق Tour for Cure جاهز لمساعدتك.
? تواصل معنا الآن عبر واتساب أو البريد الإلكتروني للحصول على استشارة مجانية.